Тел: (495) 109-00-87
e-mail:dental@care.ru
Адрес Россия г. Москва
Ул. Ольховская, 35
DentalCareстоматологическая клиника
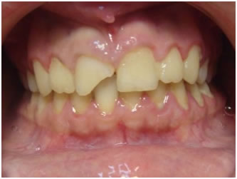
28.05.2014 Детские травмы зубов
Травмы у детей составляют более двадцати процентов по отношению ко всему травматизму. На втором месте после кариеса стоит потеря зубов у детей из-за травмы. Несмотря на улучшение благосостояния общества, количество травмированных зубов только увеличивается. Специалисты связывают такую тенденцию с подвижными играми детей без присмотра взрослых. Статистика гласит, что травмы зубов встречаются у детей в возрасте 7-11 лет, реже – у малышей 4-6 лет, а замыкают список повреждения у 1-3-летних личностей.
Какие бывают травмы?
До 3-х лет травмы, как правило, следствие неумения координировать свои движения или недостаток надзора за детишками. У детей более старшего возраста – следствие меньшей осторожности при подвижности. Стоит отметить, что мальчики получают травму в два раза чаще, чем девочки. Чаще всего повреждаются передние зубы, причем в три раза чаще – на верхней челюсти.
Детские стоматологи различают острую и хроническую травму зубов. Острая возникает при действии на зуб посторонней механической силы. Такую травму классифицируют следующим образом:
• Ушиб;
• Вывих (полный, неполный, внедренный);
• Перелом;
• Комбинированные виды травм;
• Травма зачатка зуба.
Лечение
Если ребенок получает острую травму, то родители должны отвести его к стоматологу. Врач осмотрит челюсти, назначит рентген, проведет электроодонтометрическое исследование жизнеспособности пульпы. В итоге он составит план лечения и диспансерного наблюдения. Если живость пульпы будет сохраняться, то врач порекомендует покой для зуба. Надо будет исключить из употребления твердую пищу. Параллельно с этим проведут сошлифовку временного зуба с противоположной стороны. Также стоматолог порекомендует чистить зубы после еды и полоскать рот антисептическими растворами.
Если произошел полный вывих постоянного зуба, а костная ткань сохранена, то можно провести реплантацию. Она будет рекомендована только тогда, когда помощь будет оказываться своевременно. Чем быстрее родители обратятся к врачу, тем эффективнее будет реплантация и надежнее конечный результат. Максимальный срок, когда можно ввернуть выбитый зуб на место, - 72 часа. Задача родителей – нахождение, сохранение и доставление к стоматологу вывихнутого зуба.
При переломе коронки определяют жизнеспособность пульпы, а также способы защиты от температурных раздражителей. Можно сломать корень на разных уровнях. Как правило, корень ломают дети старшего возраста в области передних зубов. Чтобы не сместились обломки корня, надо сохранить зуб и запломбировать корневые каналы.
Иногда есть затруднения с доставкой ребенка к врачу. В таком случае надо оказывать помощь самостоятельно. Первым делом надо обработать ротовую полость антисептическим раствором. Также надо обработать травмированное место Камистад-гелем или кремом от затрудненного прорезывания временных зубов.
PS: надо всегда помнить о том, что любая травма может привести к осложнениям. Дети, имеющие острую травму зуба, попадают на диспансерный учет. Цель диспансеризации – профилактика, выявление и лечение посттравматических осложнений. Повторный осмотр проводят через две недели, три месяца, шесть месяцев и один год после лечения. Врач будет проверять в первую очередь электровозбудимость пульпы, назначая, в том числе и рентгенографическое исследование.
Информация о наших услугах:
Реклама на сайте:
Зубные болезни:
Кариес
Парадонтоз
Пародонтит
Киста зуба
Галитоз
Цементома
Другие заболевания
СТАТЬИ
Профилактика кариеса
Гигиена полости рта
Внимание! Молочные зубы!
Чистка зубов
Больные зубы нарушают работу мозга
Белоснежная улыбка и как ухаживать за зубами
СЕКРЕТЫ ДРЕВНИХ СТОМАТОЛОГОВ
9 ПРИЧИН ПОТЕРИ ЗУБОВ
Ещё статьи