Тел: (495) 109-00-87
e-mail:dental@care.ru
Адрес Россия г. Москва
Ул. Ольховская, 35
DentalCareстоматологическая клиника
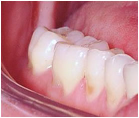
Эрозия эмали зубов
На слуху у миллионов людей такие заболевания, как «кариес», «воспаление зубного нерва» и т.д., а вот не все знают, что такое эрозия эмали зубов. Почему? Все дело в том, что многие последнее заболевание не считают за него вовсе. Между тем, на самом деле эрозия зубов – опасная болезнь, которая поражает эмаль. Сначала она проявляется не сильно выражено: дефект чашеобразный и появляющийся на вестибулярных поверхностях, а потом вся эмаль запросто может «пропасть» и придется исправлять как-то все…
Причины образования
Несмотря на то, что на дворе XXI век ученые по-прежнему не могут назвать причины, которые вызывают столь опасное заболевание. Правда, если пытаться разбираться в их догадках, то можно будет разделить их на несколько групп. Так, к примеру, некоторые исследователи говорят, что оно развивается на фоне эндокринных расстройств, т.е., к примеру, из-за нарушений функций щитовидной железы. Вторая группа ученых связывает появление клиновидного дефекта с нейродистрофическими процессами. Они вызывают декальцинацию тканей, и, приводят, так или иначе, к опасному дефекту. Правда, ни одна из озвученных в рамках данной статьи точек зрения не нашла своего научного подтверждения.
Симптоматика
Когда наблюдается начальная стадия эрозии эмали зубов, то они просто теряют свой блеск в месте поражения. Чтобы выявить у себя ее, надо просто нанести на беспокоящий участок 5-процентную настойку йода, и, посмотреть, скоро ли исчезнет желтизна и коричневый окрас. Отсутствие блеска легко увидеть, при высушивании ротовой полости струей воздуха из фена.
Дальше «опасный» участок начинает углубляться. Дефект получает вполне различимые черты. Эрозия – овальная или округлая. Дно – плоское, блестящее, твердое, а цвет больного участка – от белого до желто-коричневого. Не наблюдается поражение фронтальных зубов нижней челюсти и моляр обеих челюстей. Пациент замечает у себя болевые ощущения, неэстетичность внешнего вида. Болевое ощущение возникает на фоне химических и термических раздражителей. Сила зависит от степени болезни.
Формы:
• Активная (прогрессирующая убыль тканей – чувствительность к разным раздражителям);
• Стабилизированная (медленное изменение размера, отсутствие болевых ощущений, образование третичного дентина).
Классификация:
• Начальная (поражение поверхностных слоев);
• Средняя (глубокое поражение);
• Глубокая (эмаль + дентин).
Информация о наших услугах:
Реклама на сайте:
Зубные болезни:
Кариес
Парадонтоз
Пародонтит
Киста зуба
Галитоз
Цементома
Другие заболевания
СТАТЬИ
Профилактика кариеса
Гигиена полости рта
Внимание! Молочные зубы!
Чистка зубов
Больные зубы нарушают работу мозга
Белоснежная улыбка и как ухаживать за зубами
СЕКРЕТЫ ДРЕВНИХ СТОМАТОЛОГОВ
9 ПРИЧИН ПОТЕРИ ЗУБОВ
Ещё статьи