Тел: (495) 109-00-87
e-mail:dental@care.ru
Адрес Россия г. Москва
Ул. Ольховская, 35
DentalCareстоматологическая клиника
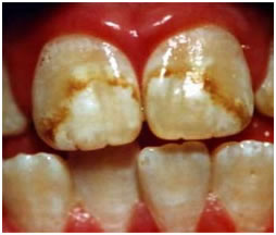
Флюороз
Мало кто знает о том, что обычная питьевая вода – основной источник фтора для организма. Соответственно многие и не подозревают о том, какое количество фторидов поступает в него ежедневно. Они не думают, что получение перенасыщения фтором происходит просто. Надо осмотреть пристальным взглядом свою ротовую полость. Если на эмали зубов начали проявляться белые или коричневые некрасивые пятна, то перенасыщение фтором уже произошло. Надо бежать к стоматологу, который обязательно вынесет свой вердикт и напишет в карточке диагноз «флюороз». Что же делать? Как лечить заболевание? Ответы надо искать в статье.
Кто в зоне риска?
Флюороз или крапчатая эмаль – болезнь, которая возникает на фоне попадания в организм большой дозы фтора. Питьевая вода влияет на содержание жизненно важного микроэлемента в костях. Фтор также содержится в продуктах питания, зубных пастах. Его усвояемость в таком случае не такая хорошая, как у фторидов, поступающих в организм с питьем. Специалисты утверждают, что заболевание носит эндемический характер, т.е. им страдают люди, живущие в определенной местности, где в воде содержится большое количество фтора. Также диагностируют профессиональный флюороз. Он наблюдается у работников предприятий, на которых превышено содержание фтористых соединений в воздушных массах. Профессиональный флюороз наблюдается у людей нечасто.
Как лечить?
Лечение заболевания у взрослых и детей начинается одинаково. Врач рекомендует уменьшить дозу фтора, поступающего в организм. Если нельзя отказаться от перенасыщенной им воды, то для ее избавления от опасного вещества можно установить специальные фильтры. Нельзя будет чистить зубы специфической зубной пастой, придется отказаться от ряда продуктов питания, а точнее от животного масла, морской рыбы, шпината, чая. Вышеупомянутых действий будет недостаточно для устранения уже появившихся пятен на эмали. Их будет достаточно для остановки дальнейшего развития болезни.
Что же делать в таком случае с пятнами? Быть может, записаться на процедуру отбеливания зубов? Метод будет эффективным при штриховой или пятнистой форме, когда пятна еще имеют белый оттенок. После процедуры сравняется цвет зубов и пятен. Также эффективна реминерализация эмали, но до ее проведения надо провести шлифовку. Если пятна потемнеют, то поможет только протезирование ортопедическими конструкциями (виниры, коронки, люминиры).
Информация о наших услугах:
Реклама на сайте:
Зубные болезни:
Кариес
Парадонтоз
Пародонтит
Киста зуба
Галитоз
Цементома
Другие заболевания
СТАТЬИ
Профилактика кариеса
Гигиена полости рта
Внимание! Молочные зубы!
Чистка зубов
Больные зубы нарушают работу мозга
Белоснежная улыбка и как ухаживать за зубами
СЕКРЕТЫ ДРЕВНИХ СТОМАТОЛОГОВ
9 ПРИЧИН ПОТЕРИ ЗУБОВ
Ещё статьи