Тел: (495) 109-00-87
e-mail:dental@care.ru
Адрес Россия г. Москва
Ул. Ольховская, 35
DentalCareстоматологическая клиника
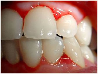
Гингивит
Гингивит – опасное заболевание, по мнению большинства стоматологов. Когда наблюдают его у пациента, то отмечают наличие во рту воспаления десен, но вот зубодесневое соединение не нарушено. Если не начать лечение вовремя, то может произойти переход в деструктивную форму заболеваний пародонта – пародонтит.
Этиология
Заболевание развивается из-за скопления налета микробов и бактерий на зубах. Человек страдает в большинстве случае из-за того, что не соблюдает гигиену полости рта. Кроме того, оно может развиться по причине проведения неправильного ортодонтического лечения, которое отягчается тем, что уход за зубами и полостью рта не проводится должным образом и патогенные микроорганизмы развиваются интенсивно. Именно бактерии, а очень редко грибы и вирусы, вызывают воспаление десен.
Что может выступить фактором риска?
Специалисты говорят, что не редко пациенты страдают гингивитом из-за того, что курят, нарушаются гигиену ротовой полости, находятся в иммунодепрессивном состоянии, не обращаются вовремя за помощью к стоматологу, не доедают, не борются с зубным камнем, достигают 3-6-летнего возраста. Также к развитию заболевания приводят беременность, сахарный диабет, ОРЗ, туберкулез, СПИД и т.д. Нет в достаточном кол-ве витамина С.
Лечение
Стоматолог назначает лечение, отталкиваясь от того, в какой стадии находится заболевание. Иногда врач назначает профессиональную чистку полости рта, а в другой раз нельзя обойтись без хирургического вмешательства. Если течение затяжное или тяжелое, надо пить следующие антибиотики: клиндам ицин, тетрациклин, пенициллин, метронидазол, доксициклин и т.д. Чтобы человек не чувствовал боль, иногда назначают ибупрофен или парацетамол по 1 таблетки. Каждый человек, страдающий гингивитом, может рассчитывать на полное выздоровление. Почему? Потому что зубодесневое соединение не нарушено!
Иногда в полости рта наблюдают хронический гингивит. Когда ставят такой диагноз, пациент уже не жалуется на боль, а сам воспалительный процесс затягивается и переходит в вялотекущую стадию. Чтобы обнаружить эта заболевание, надо посетить стоматолога. Сам пациент может догадываться о болезни по кровоточивости во время чистки зубов, неприятному запаху изо рта. Также десны могут краснеть немного, а десневые сосочки набухать. Когда заболевание десны обостряется, они приобретают яркую окраску, кровоточат и отекают. Также иногда обнаруживают во время осмотра отложения на зубах, которые поражают твердые ткани зуба.
Информация о наших услугах:
Реклама на сайте:
Зубные болезни:
Кариес
Парадонтоз
Пародонтит
Киста зуба
Галитоз
Цементома
Другие заболевания
СТАТЬИ
Профилактика кариеса
Гигиена полости рта
Внимание! Молочные зубы!
Чистка зубов
Больные зубы нарушают работу мозга
Белоснежная улыбка и как ухаживать за зубами
СЕКРЕТЫ ДРЕВНИХ СТОМАТОЛОГОВ
9 ПРИЧИН ПОТЕРИ ЗУБОВ
Ещё статьи