Тел: (495) 109-00-87
e-mail:dental@care.ru

Адрес Россия г. Москва
Ул. Ольховская, 35

Почему стоит пройти ортодонтическое лечение?

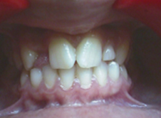
Big Image Недавно было проведено исследование-анализ. Ученые выяснили, что только в России живет огромное количество людей, у которых прикус сформировался неправильно, равно как и расположение зубов тоже кривое. Говорят, что недуги встречаются у 90% населения страны. Они не подозревают о том, что от неправильного прикуса и формы зубов страдает не только внешность, но и здоровье. Под проблемами зубочелюстной системы подразумевается деформированное, неправильное строение челюстей, рядов зубов. Они заметны даже невооруженным взглядом, хотя многие предпочитают не замечать подобного. Внешность человека должна быть красивой, ухоженной, и, тогда общение с окружающими людьми будет строиться успешно, и, успех любому предприятию обеспечен. Известно, что только улыбка способна преобразить человека до неузнаваемости, сделать его привлекательным. Даже если человек «гадкий утенок», но у него волшебная чарующая улыбка, то он уже самый настоящий лебедь. Улыбка соблазняет, обезоруживает, превращает недоброжелателей в близких друзей, меняет жизнь в лучшую сторону и т.д.

Как показывает практика, не многие люди задумываются над тем, что многих проблем со здоровьем можно избежать. Можно сделать свою улыбку привлекательной, если пройти полный курс ортодонтического лечения. Стоит взять на вооружение последние выводы ученых, полученные во время проведения исследования. Они пришли к выводу, что многие заболевания развиваются из-за неправильного строения зубочелюстной системы. Люди жуют неправильно пищу, вследствие чего может развиваться язва желудка, тяжелые заболевания печени и т.д. 40% граждан сталкиваются с дефектами речи. Если нарушения функциональные, то может развиться пародонтит. Зубы станут подвижными, появится неприятный запах изо рта, будет казаться, что в ротовой полости инфекция, которая будет попадать внутрь. Появление промежутков – оголение корней. Человек, имеющий проблемы со здоровьем, вскоре останется в одиночестве, так как окружающим вряд ли понравится «завораживающий» запах изо рта.

Назад >>>

Информация о наших услугах:





Реклама на сайте:


Зубные болезни:
Кариес
Парадонтоз
Пародонтит
Киста зуба
Галитоз
Цементома
Другие заболевания

СТАТЬИ
Профилактика кариеса
Гигиена полости рта
Внимание! Молочные зубы!
Чистка зубов
Больные зубы нарушают работу мозга
Белоснежная улыбка и как ухаживать за зубами
СЕКРЕТЫ ДРЕВНИХ СТОМАТОЛОГОВ
9 ПРИЧИН ПОТЕРИ ЗУБОВ
Ещё статьи