Тел: (495) 109-00-87
e-mail:dental@care.ru
Адрес Россия г. Москва
Ул. Ольховская, 35
DentalCareстоматологическая клиника
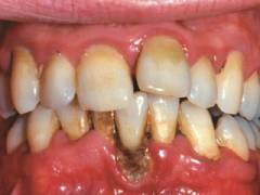
Пародонтит
Часто можно услышать от пациентов печальную историю – никогда не болели зубы, вообще не знал, что такое зубная боль, и вдруг зубы буквально посыпались один за другим. Виновник в этом случае, как правило, один – парадонтит.
Слово «пародонтоз» происходит от греческого «пара» - около, и «дентос» - зуб. Как нетрудно догадаться, название говорит о воспалении чего-то, непосредственно прилегающего к зубу. Ну а это, конечно, десна. Как же происходит, что человек с вроде бы здоровыми зубами начинает их терять?
Начать следует с того, что на самом деле чаще всего в медицинских терминах происходит путаница. То самое воспаление десен, которое в итоге приводит к утрате зубов, называется пародонтитом, но часто можно применительно к данной болезни услышать слово «пародонтоз». Это совершенно не верно, поскольку настоящий пародонтоз встречается крайне редко и при этом заболевании зубы как раз хорошо зафиксированы в десне. А вот при пародонтите зубы легко начать терять.
Что же происходит, когда у человека начинается пародонтит? А происходит следующее. На зубе начинает откладываться налет, который, превращаясь в зубной камень и постепенно сдвигаясь к основанию зуба, фактически вырезает зуб из десны. Этот процесс сопровождается кровотечением десен, а иногда и гнойными выделениями из зубных карманов. В запущенных случаях возможны также свищи и абсцессы десны. И конечно, со временем зубы расшатываются и начинают выпадать.
В чем же причина такой болезни? В первую очередь – это несоблюдение гигиены ротовой полости. Ведь основным «виновником» в развитии парадонтита является микробный агент. Однако у некоторых людей, даже если они очень тщательно ухаживают за своими зубами и деснами с помощью зубной щетки, пасты и нитки-флосса, все равно развивается парадонтит. В этом случае причиной становится индивидуальная склонность к образованию зубного камня, который, как уже говорилось выше, нарушает гармонию зуба и десны.
Поэтому для того, чтобы никогда не познакомиться с пародонтитом, лучше всего не только тщательно чистить зубы несколько раз в день, но и регулярно посещать стоматолога и, если он увидит такую необходимость, удалять образовавшийся зубной камень. Для профилактики выпадения зубов также очень и очень полезно употребление витамина С в достаточном количестве.
Информация о наших услугах:
Реклама на сайте:
Зубные болезни:
Кариес
Парадонтоз
Пародонтит
Киста зуба
Галитоз
Цементома
Другие заболевания
СТАТЬИ
Профилактика кариеса
Гигиена полости рта
Внимание! Молочные зубы!
Чистка зубов
Больные зубы нарушают работу мозга
Белоснежная улыбка и как ухаживать за зубами
СЕКРЕТЫ ДРЕВНИХ СТОМАТОЛОГОВ
9 ПРИЧИН ПОТЕРИ ЗУБОВ
Ещё статьи