Тел: (495) 109-00-87
e-mail:dental@care.ru

Адрес Россия г. Москва
Ул. Ольховская, 35

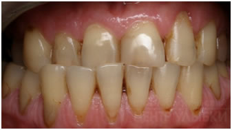
Перекрестный прикус

Прикус зубов… Так называется смыкание зубов. По сути, речь идет о типе этого смыкания. Специалисты говорят, что прикус может быть правильным и неправильным. Так, например, разновидность патологического (неправильного) прикуса – перекрестный.

Если прикус сформировался правильно, то зубы верхнего зубного ряда должны перекрывать на 1/3 зубы нижнего ряда. Бугры верхних коренных зубов перекрывают бугры нижних. Если развивается перекрестный прикус, то наблюдается сужение нижней или верхней челюсти со смещением нижней вправо или влево. Специалисты наблюдают в таком случае яркую ассиметрию лица. Патология формируется в боковых областях, передней части челюсти. Кроме того, она может быть односторонней или двусторонней.

Причины

В большинстве случаев патология развивается на фоне развития генетических факторов. Иногда все происходит по причине того, что ребенок с детства привыкал к чему-то вредному. Про что речь? Про то, что родители долго не отнимали у него пустышку, кормили малыша из соски, не пресекали случаи сосания пальца и т.д. Иногда аномалия развивалась по причине травмирования челюсти. Если зубки уже растут неправильно, то не удастся исправить их рост, забрав у малыша соску. Придется обращаться к врачу. Желательно обратиться к квалифицированному стоматологу, как можно раньше, чтобы лечение прошло безболезненно и быстро!

Последствия перекрестного прикуса

• Приобретение эстетической непривлекательности. Дисбаланс роста челюстей. Одна будет увеличиваться, лицо будет деформироваться, и в итоге будут развиваться многие другие сопутствующие болезни;

• Плохая работа челюстных суставов. Человек страдает из-за того, что не может жевать и глотать правильно. Иногда развиваются проблемы с путями дыхания и с ЖКТ из-за того, что качественное пережевывание пищи невозможно;

• Проблемы с дикцией у детей;

• Потеря зуба, так как будет развиваться пародонт.

Как лечить?

Если аномалия развивается у ребенка во время молочного и сменного прикуса, то врач просто найдет причину ее развития. Чем старше будет становиться ребенок, тем тяжелее будет происходить лечение. Так, например, придется расширять челюстные кости, выравнивать размер верхней и нижней челюсти. Иногда приходится использовать разные ортодонтические приспособления (съемные, несъемные и дополнительные). Чтобы не пришлось лечиться, важно бороться с вредными привычками ребенка своевременно, ходить к стоматологу вовремя, следить за тем, как формируется осанка и за поведением малыша во время кормления.

Информация о наших услугах:





Реклама на сайте:
перчатки латексные белые


Зубные болезни:
Кариес
Парадонтоз
Пародонтит
Киста зуба
Галитоз
Цементома
Другие заболевания

СТАТЬИ
Профилактика кариеса
Гигиена полости рта
Внимание! Молочные зубы!
Чистка зубов
Больные зубы нарушают работу мозга
Белоснежная улыбка и как ухаживать за зубами
СЕКРЕТЫ ДРЕВНИХ СТОМАТОЛОГОВ
9 ПРИЧИН ПОТЕРИ ЗУБОВ
Ещё статьи