Тел: (495) 109-00-87
e-mail:dental@care.ru
Адрес Россия г. Москва
Ул. Ольховская, 35
DentalCareстоматологическая клиника
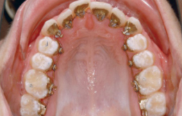
Тонкости выбора брекет-системы
Брекеты – медицинский аппарат, который устанавливают на внутренней или наружной поверхности зубов. Отдельные секции соединяются металлическими дугами, вследствие чего составляется единая система. За счет дуги создается исправляющее усилие, которое заставляет вытягивать зубы, расположенные неправильно. Их вытягивание происходит в нужную сторону.
Тонкости установки брекет-систем:
- Установка брекетов осуществляется во многих стоматологиях по всему миру. Можно выбрать клинику, порывшись в Интернете. Нельзя покупать систему без предварительной консультации с ортодонтом;
- Лечение предполагает внедрение в ротовую полость брекет-системы. Иногда ортодонты не рекомендуют их установку, так как считают, что проблема вполне решаема и без них, а с помощью специальных капп. С установки первой каппы начинается выравнивание зубов. Длительность ее ношения – один год. Установка имеет свои тонкости и ограничения;
- Когда врач установит систему, активируется функциональная защита организма. Нагрузка заставляет изменить положение зубов в ротовой полости. Трансформация возможна на такое значение, которое считается идеальным. Врач следит за тем, чтобы все шло как надо;
- Брекеты ставят после того, как специалист пришел к выводу, что такой стоматологический план эффективный. Если есть сомнения по их установке, то лучше обследоваться повторно;
- Установка в стоматологической клинике, а не где-нибудь на задворках какого-то дома;
- Длительное лечение из-за необходимости изменения прикуса, полного выравнивания зубов (от 4-х месяцев до 2-х лет);
- Контроль ортодонта на всех этапах лечения. Он несет ответственность за конечный результат;
- Не важно, какие брекеты устанавливать. Главное – они должны быть установлены правильно;
- После снятия брекетов надо пройти процедуру отбеливания зубов, чтобы удивить всех знакомых ровными зубами и белоснежной улыбкой.
Назад >>>
Информация о наших услугах:
Реклама на сайте:
Зубные болезни:
Кариес
Парадонтоз
Пародонтит
Киста зуба
Галитоз
Цементома
Другие заболевания
СТАТЬИ
Профилактика кариеса
Гигиена полости рта
Внимание! Молочные зубы!
Чистка зубов
Больные зубы нарушают работу мозга
Белоснежная улыбка и как ухаживать за зубами
СЕКРЕТЫ ДРЕВНИХ СТОМАТОЛОГОВ
9 ПРИЧИН ПОТЕРИ ЗУБОВ
Ещё статьи