Тел: (495) 109-00-87
e-mail:dental@care.ru
Адрес Россия г. Москва
Ул. Ольховская, 35
DentalCareстоматологическая клиника
Почему рекомендуют носить ретейнеры после брекетов?
Ретейнер – это не- и съемная конструкция, которую надо носить обязательно, чтобы закрепить результат исправления прикуса. Если не установить его, в будущем ни один врач не даст гарантию на то, что зубы не вернутся в прежнее положение или не сместятся в другую сторону. Установив ретейнеры после брекетов, можно рассчитывать на сохранение достигнутого положения зубиков. Оптимальный срок ношения – от полугода до нескольких лет.
Определение
На самом деле ретейнеры – ретенционные аппараты. Лишь немногие люди могут похвастать идеально ровной зубной линией с рождения. Процесс исправления зубов длительный – от нескольких месяцев до нескольких лет. Чтобы был достигнут нужный результат, надо устанавливать во рту ортопедические конструкции, а точнее каппы, брекеты или трейнеры. Но даже после окончания их ношения терапия не заканчивается. Есть еще одна конструкция, которая закрепляет результат. Таким образом, можно избежать случаев, когда зубы будут принимать свое прежнее положение. Фиксация закрепляющих эффект систем может происходить только в кабинете у стоматолога. Только он сможет подобрать нужный тип конструкции с учетом аномалии, течения активного лечения и т.д.
Виды
Существует два вида ретейнеров после брекетов. Первый вид – съемный, а второй – несъемный. Первая конструкция фиксирует моляры в нужном положении. При фиксации используют пластмассовую капу, пластинку или дугу из металла. Нет трудностей при уходе за конструкцией. Можно запросто кушать всю ту же пищу, которую человек принимал до начала лечения. Наравне с достоинствами, есть и недостатки:
• Проблемы с произношением некоторых слов;
• Кооперация между пациентом и врачом;
• Присутствие вестибулярной дуги – отсутствие эстетики;
• Раздражение из-за ношения в полости рта пластмассы;
• Гиперсаливация, вызванная эффектом инородного тела.
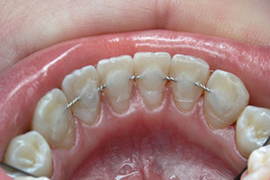
Съемные конструкции изобрели еще в 1920 г., а вот несъемные существуют не так долго. Их располагают с внутренней стороны зубного ряда. В этом случае ретейнер изготавливают из проволоки, прикрепив на передние зубы до многокорневых. К ним проще привыкнуть, они не причиняют особых неудобств и не доставляют хлопот. Так как они не снимаются, то эффект от носки сохраняется весь день, а не в те или иные часы. Правда, пациенту придется постоянно посещать врача и испытывать некие трудности во время проведения необходимых гигиенических процедур.
Какую бы конструкцию не порекомендовал врач, он сначала проведет осмотр полости рта. Можно установить ее на нижнюю и верхнюю челюсть, удалив сначала весь налет, подготовив эмаль, высушив ее и обработав, используя специальные растворы. Фиксацию производят с использованием специальных композитов, а потом полируют зубы.
Информация о наших услугах:
Реклама на сайте:
Зубные болезни:
Кариес
Парадонтоз
Пародонтит
Киста зуба
Галитоз
Цементома
Другие заболевания
СТАТЬИ
Профилактика кариеса
Гигиена полости рта
Внимание! Молочные зубы!
Чистка зубов
Больные зубы нарушают работу мозга
Белоснежная улыбка и как ухаживать за зубами
СЕКРЕТЫ ДРЕВНИХ СТОМАТОЛОГОВ
9 ПРИЧИН ПОТЕРИ ЗУБОВ
Ещё статьи